
Many of the patients that we see at our practice have been told by other dentists that they are not suitable for dental implant treatment due to lack of bone structure and density for the placement of dental implants.
Here at Beech Lane Dental Care we offer solutions for patients who may have been told that implant treatment is not possible. A sinus lift or bone graft procedure allows us to use a combination of both synthetic and grafted bone from the jaw to increase the volume and density of bone available in the area where the implants are to be placed.
At Beech Lane Dental Care, we offer advanced procedures such as bone grafting and sinus lifts to ensure that our patients have a strong and stable foundation for dental implants.
Bone grafting is a specialised procedure designed to restore bone that has been lost due to tooth extraction, gum disease, or injury. When the jawbone is insufficient in density or volume, it may not be able to adequately support a dental implant. In such cases, bone grafting is recommended to rebuild and strengthen the jawbone. This involves using bone material, which may be sourced from your own body, a donor, or synthetic substitutes, to fill in areas of bone loss. Over time, the grafted bone integrates with your existing bone, creating a robust foundation for implants and other restorative treatments.
A sinus lift, also known as sinus augmentation, is a procedure typically performed when the upper jaw lacks the necessary bone height to support a dental implant, particularly in the area of the back teeth (molars and premolars). This situation often arises due to the proximity of the sinus cavity to the jaw, where bone loss can result from tooth extractions or long-term edentulism. During a sinus lift, the sinus membrane is gently lifted, and bone graft material is placed into the space, allowing for the growth of new bone. This process increases the bone height and provides a solid base for the successful placement of dental implants.
At Beech Lane Dental Care, we are committed to providing the highest standard of care for patients requiring bone grafting and sinus lifting procedures. These advanced treatments are essential for creating a stable foundation for dental implants, particularly in cases where bone loss has occurred. Here’s a detailed step-by-step overview of how we perform these procedures to ensure optimal outcomes for our patients.
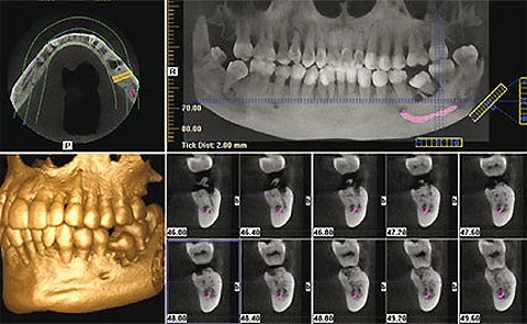
Your journey starts with an in-depth consultation, including advanced imaging, to evaluate your oral health and determine if you need bone grafting or a sinus lift.
We ensure you're fully informed and comfortable, discussing the procedure details and anaesthesia options for a pain-free experience.
If needed, we make a small incision to place graft material, strengthening your jawbone for future implants.
For the sinus lift surgery, we create a small opening, gently lift the sinus membrane, and place bone graft material to increase bone density in the upper jaw.
After the procedure, we provide instructions for recovery, including oral hygiene and dietary guidance, and schedule follow-up appointments to monitor your healing.
Over several months, the graft material integrates with your bone, creating a stable foundation for implants, with regular check-ups to track progress.
Once healing is complete, we proceed with placing dental implants, supported by the foundation established through bone grafting and sinus lifting.
Choosing Beech Lane Dental Care for your bone graft and sinus lift procedures ensures you receive expert care tailored to your needs. Our team’s extensive experience in these specialised treatments guarantees high-quality outcomes, supported by state-of-the-art technology for precision and comfort.
We prioritise personalised treatment plans, ensuring each step is customised to your specific oral health requirements. Our focus on patient comfort includes various sedation options and comprehensive aftercare, making your experience as smooth as possible. With a proven track record of success, Beech Lane Dental Care is committed to delivering exceptional care and lasting results for your dental health. Contact us now!
What can I expect regarding the success rate of sinus lifts and bone grafts?
The success rate of sinus lifts and bone grafts is generally high when performed by experienced professionals. At Beech Lane Dental Care, we achieve excellent outcomes thanks to our specialised techniques and personalised treatment plans. While individual results can vary based on factors like overall health and adherence to post-operative care, most patients experience successful integration of the graft material and favourable results for subsequent dental implant placements. We are dedicated to ensuring your procedure meets the highest standards for optimal success.
How long does it typically take for a sinus lift and bone graft to fully heal?
The healing time for a sinus lift and bone graft can vary, but generally, it takes several months for the grafts to fully integrate with your natural bone. During this period, the graft material gradually becomes part of the existing bone, providing a solid foundation for future dental implants. Typically, you can expect the initial healing phase to last around 3 to 6 months. We will monitor your progress through follow-up appointments to ensure proper healing and guide you through each stage of recovery.